La estética abarca varios tratamientos que pueden incluir otras especialidades como cirugía, ortodoncia y periodoncia para mejorar estética se pueden realizar tratamientos como
La estética abarca varios tratamientos que pueden incluir otras especialidades como cirugía, ortodoncia y periodoncia para mejorar estética se pueden realizar tratamientos como
Son el tratamiento ideal en aquellos pacientes que han tenido desgastes incisales, fracturas o manchas por defectos en el esmalte dental también en aquellos pacientes que tienen carillas en resinas sobre contorneadas y que se fracturan muy seguido, este procedimiento es altamente estético y mínimamente invasivo con el diente.
Se realiza con una lámpara de luz led fría mejorando el color de los dientes de 6 a 8 tonos más blancos en una sola sesión y sin dolor.
Son el tratamiento ideal en aquellos pacientes que han tenido desgastes incisales, fracturas o manchas por defectos en el esmalte dental también en aquellos pacientes que tienen carillas en resinas sobre contorneadas y que se fracturan muy seguido, este procedimiento es altamente estético y mínimamente invasivo con el diente.
Se realiza con una lámpara de luz led fría mejorando el color de los dientes de 6 a 8 tonos más blancos en una sola sesión y sin dolor.
Es una rama de la odontología que se encarga de corregir mal posiciones dentales y de los maxilares con Brackets o placas invisibles mejorando Función, Fonación y Estética, existen varias técnicas las cuales decide el especialista previo a un diagnóstico clínico y radiográfico de manera individual.
Es una rama de la odontología que se encarga de corregir mal posiciones dentales y de los maxilares con Brackets o placas invisibles mejorando Función, Fonación y Estética, existen varias técnicas las cuales decide el especialista previo a un diagnóstico clínico y radiográfico de manera individual.
Son el tratamiento ideal en aquellos pacientes que han tenido desgastes incisales, fracturas o manchas por defectos en el esmalte dental también en aquellos pacientes que tienen carillas en resinas sobre contorneadas y que se fracturan muy seguido, este procedimiento es altamente estético y mínimamente invasivo con el diente.
Son el tratamiento ideal en aquellos pacientes que han tenido desgastes incisales, fracturas o manchas por defectos en el esmalte dental también en aquellos pacientes que tienen carillas en resinas sobre contorneadas y que se fracturan muy seguido, este procedimiento es altamente estético y mínimamente invasivo con el diente.
Es la rama de la odontología que se especializa en adaptar y atender los pacientes más pequeños “NIÑOS” tiene como finalidad quitar los miedos para que estos pacientes no sufran los temores que la mayoría de los pacientes adultos tienen.
Es la rama de la odontología que se especializa en adaptar y atender los pacientes más pequeños “NIÑOS” tiene como finalidad quitar los miedos para que estos pacientes no sufran los temores que la mayoría de los pacientes adultos tienen.
Es una técnica muy eficaz que reduce la fricción por lo que los dientes se mueven con rapidez y de manera cómoda los hay metálicos y estéticos.
Son en un material llamado zafiro estos brackets son muy estéticos, permite realizar tratamientos efectivos en aquellos pacientes que no quieren nada metálico en boca.
Tratamiento cómodo moderno y eficaz para mover los dientes sin usar bracket.
Es una técnica muy eficaz que reduce la fricción por lo que los dientes se mueven con rapidez y de manera cómoda los hay metálicos y estéticos.
Son en un material llamado zafiro estos brackets son muy estéticos, permite realizar tratamientos efectivos en aquellos pacientes que no quieren nada metálico en boca.
Tratamiento cómodo moderno y eficaz para mover los dientes sin usar bracket.
Es la rama de la odontología que se encarga de tratamientos preventivos y correctivos en los maxilares dándole dirección al crecimiento de los mismos para una erupción adecuada estos procedimientos se realizan a edades tempranas.
Es la rama de la odontología que se encarga de tratamientos preventivos y correctivos en los maxilares dándole dirección al crecimiento de los mismos para una erupción adecuada estos procedimientos se realizan a edades tempranas.
Rama de la odontología que se encarga de preservar las piezas dentales cuando hay compromiso del paquete vasculonervioso (nervio, arteria y vaso) por caries trauma o fractura, este tratamiento debe ser realizado por un especialista utilizando un localizador apical y tomando radiografías digitales para que sea más efectivo.
Rama de la odontología que se encarga de preservar las piezas dentales cuando hay compromiso del paquete vasculonervioso (nervio, arteria y vaso) por caries trauma o fractura, este tratamiento debe ser realizado por un especialista utilizando un localizador apical y tomando radiografías digitales para que sea más efectivo.
Es la rama de la odontología que se encarga de la prevención y tratamiento de los tejidos de soportes del diente “encía, hueso, ligamento periodontal, cemento radicular”
Es la rama de la odontología que se encarga de la prevención y tratamiento de los tejidos de soportes del diente “encía, hueso, ligamento periodontal, cemento radicular”
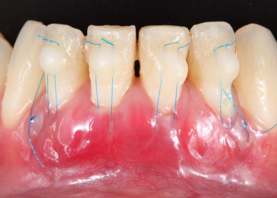
En aquellos pacientes que por trauma oclusal o mecánico su encía se ha disminuido produciendo sensibilidad, este procedimiento se realiza por medio de una cirugía mucogingival llevando la encía a su posición original cubriendo en lo posible la totalidad o gran parte de lo perdido, en algunos pacientes es difícil recuperar esa pérdida, sin embargo. El procedimiento ayuda a engrosar la encía evitando que se siga exponiendo más la corona y la raíz del diente.
Es un procedimiento que se realiza para mejorar estéticamente la sonrisa de los pacientes, en aquellos pacientes que tienen los dientes muy pequeños o que muestran la encía demasiado.
En aquellos pacientes que por trauma oclusal o mecánico su encía se ha disminuido produciendo sensibilidad, este procedimiento se realiza por medio de una cirugía mucogingival llevando la encía a su posición original cubriendo en lo posible la totalidad o gran parte de lo perdido, en algunos pacientes es difícil recuperar esa pérdida, sin embargo. El procedimiento ayuda a engrosar la encía evitando que se siga exponiendo más la corona y la raíz del diente.
Es un procedimiento que se realiza para mejorar estéticamente la sonrisa de los pacientes, en aquellos pacientes que tienen los dientes muy pequeños o que muestran la encía demasiado.
Rama de la odontología que rehabilita y recupera función estética y fonación por medio de prótesis dentales estas pueden ser individuales parciales o totales fijas o removibles
Rama de la odontología que rehabilita y recupera función estética y fonación por medio de prótesis dentales estas pueden ser individuales parciales o totales fijas o removibles
Se realizan preparando el diente o molar que fue fracturado o que tenía caries para recuperarlo de una manera estética por medio de técnicas computarizadas en materiales altamente estéticos y resistentes como la zirconia y el disilicato de litio.
Se realiza en aquellos pacientes que han perdido todos sus dientes y no desean como alternativa los implantes, cabe resaltar que estos pacientes hoy en día pueden tener dientes fijos por medio de implantes dentales.
Son prótesis que se realizan cuando se han perdido algunas piezas dentales, hoy en día los materiales son suaves y flexibles estos pacientes son candidatos para implantes pues es el tratamiento ideal.
esta es la unión entre dos dientes para recuperar 3 coronas dentales se realiza una prótesis ferulizada está también puede ser libre de metal.
Se realizan preparando el diente o molar que fue fracturado o que tenía caries para recuperarlo de una manera estética por medio de técnicas computarizadas en materiales altamente estéticos y resistentes como la zirconia y el disilicato de litio.
Se realiza en aquellos pacientes que han perdido todos sus dientes y no desean como alternativa los implantes, cabe resaltar que estos pacientes hoy en día pueden tener dientes fijos por medio de implantes dentales.
Son prótesis que se realizan cuando se han perdido algunas piezas dentales, hoy en día los materiales son suaves y flexibles estos pacientes son candidatos para implantes pues es el tratamiento ideal.
esta es la unión entre dos dientes para recuperar 3 coronas dentales se realiza una prótesis ferulizada está también puede ser libre de metal.
Este procedimiento se realiza en pacientes que tienen dientes retenidos y que por falta de espacios no han erupcionado de forma indicada se realiza buscando el diente y colocando un botón o brackets para que el diente se posicione en el sitio indicado.
Este procedimiento se debe realizar cuando los terceros molares vienen erupcionando en mal posición que puede traer como consecuencia el apiñamiento de dientes anteriores “adelante”, también cuando están cerca de estructuras anatómicas que pueden provocar mucho dolor y malestar, cuando pueden afectar el diente vecino también estos dientes incluidos o retenidos pueden provocar quistes.
Este procedimiento se realiza en la parte posterior y superior de los maxilares este sitio está en contacto con el seno paranasal y al perder los molares se va disminuyendo el hueso y queda un espacio lleno de aire, es un procedimiento seguro que se puede realizar al tiempo con la colocación de implantes.
Es un procedimiento que se realiza quitando las bolsas adiposas de bichat “grasa” para evitar morderse los cachetes y mejorando la apariencia facial. Este procedimiento quirúrgico se hace intraoralmente.
Los implantes dentales son tornillos en titanio o zirconio que recuperan la raíz de un diente perdido, están presentes en Colombia desde 1970 cuando se fundó la asociación odontológica colombiana de implantes gracias a un grupo de profesionales que se interesaron por este tema….. A través de los años y con la tecnología hoy en día es un tratamiento de fácil acceso para todo el mundo y además con técnicas mínimamente invasivas.
Este procedimiento se realiza en dientes con tratamiento de conductos que presentan lesiones en el ápice “es la punta de la raíz” provocando malestar dolor y abscesos consiste en retirar la lesión y sellar el diente en el ápice evitando comunicación de bacterias del diente al hueso.
Este procedimiento se realiza en pacientes que tienen dientes retenidos y que por falta de espacios no han erupcionado de forma indicada se realiza buscando el diente y colocando un botón o brackets para que el diente se posicione en el sitio indicado.
Este procedimiento se debe realizar cuando los terceros molares vienen erupcionando en mal posición que puede traer como consecuencia el apiñamiento de dientes anteriores “adelante”, también cuando están cerca de estructuras anatómicas que pueden provocar mucho dolor y malestar, cuando pueden afectar el diente vecino también estos dientes incluidos o retenidos pueden provocar quistes.
Este procedimiento se realiza en la parte posterior y superior de los maxilares este sitio está en contacto con el seno paranasal y al perder los molares se va disminuyendo el hueso y queda un espacio lleno de aire, es un procedimiento seguro que se puede realizar al tiempo con la colocación de implantes.
Es un procedimiento que se realiza quitando las bolsas adiposas de bichat “grasa” para evitar morderse los cachetes y mejorando la apariencia facial. Este procedimiento quirúrgico se hace intraoralmente.
Los implantes dentales son tornillos en titanio o zirconio que recuperan la raíz de un diente perdido, están presentes en Colombia desde 1970 cuando se fundó la asociación odontológica colombiana de implantes gracias a un grupo de profesionales que se interesaron por este tema….. A través de los años y con la tecnología hoy en día es un tratamiento de fácil acceso para todo el mundo y además con técnicas mínimamente invasivas.
Este procedimiento se realiza en dientes con tratamiento de conductos que presentan lesiones en el ápice “es la punta de la raíz” provocando malestar dolor y abscesos consiste en retirar la lesión y sellar el diente en el ápice evitando comunicación de bacterias del diente al hueso.